Gå til innhold

Fremhevede innlegg

AnonymBruker
Skrevet

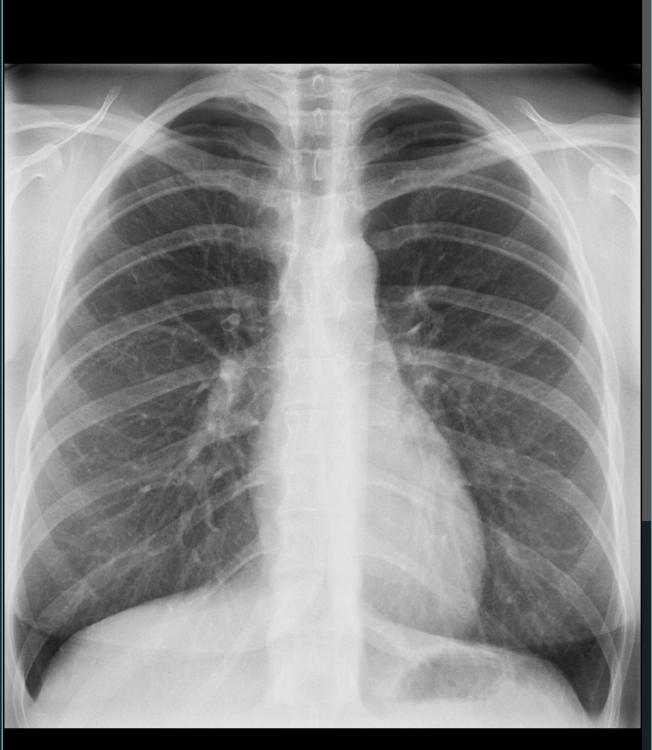
Tok røntgen av lungene idag. Er tidlig i 20 årene. Ser dette normalt ut? Har fibromyalgi så er olaget med bryst og ryggsmerter. Får ikke svar på bildene før neste uke. IMG_5243.thumb.jpeg.7644f0f0126ec0d8d96e4f9958e11e6a.jpegFøler det er små hvite prikker sentralt i brystet:/. Noen radiologer her inne? 

Anonymkode: b9683...774

Videoannonse
Annonse
AnonymBruker
Skrevet

Helt normalt røntgenbilde. 

Anonymkode: f6ef1...121

  • Nyttig 1
Skrevet

Kjære trådstarter,

Jeg stenger denne tråden nå, da vi ikke kan vite hva slags kompetanse som ligger bak svarene du vil få. I dette tilfellet ville det heller vært best om du fikk et profesjonelt svar, og det vil du bare få om du kontakter lege eller annet kvalifisert medisinsk personell. 

Med vennlig hilsen,

Matas, mod.

  • Liker 2
Gjest
Dette emnet er låst for flere svar.
×
×
  • Opprett ny...