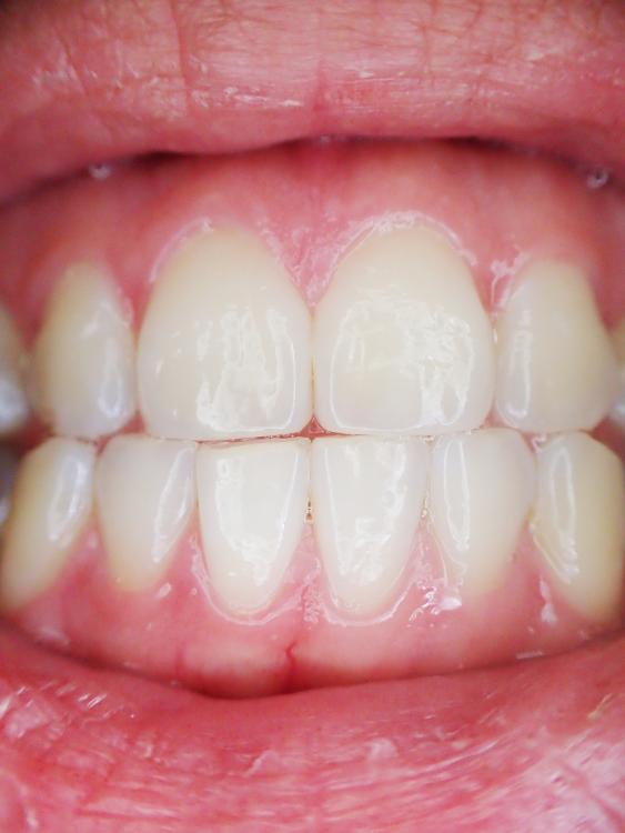
AnonymBruker Skrevet 27. juli 2022 #1 Skrevet 27. juli 2022 Ser tenna dine sånn ut? Altså at de 2 midtre fortenna treffer akkurat på de 2 midtre nedretenna? Anonymkode: 6cbf1...5d6
AnonymBruker Skrevet 27. juli 2022 #2 Skrevet 27. juli 2022 Nei, mine fortenner ligger over. Anonymkode: 7ab5f...8cb 4
AnonymBruker Skrevet 27. juli 2022 #3 Skrevet 27. juli 2022 Hva mener du med "treffer akkurat"? Anonymkode: a7782...9ff
AnonymBruker Skrevet 27. juli 2022 #5 Skrevet 27. juli 2022 AnonymBruker skrev (9 minutter siden): Hva mener du med "treffer akkurat"? Anonymkode: a7782...9ff At de treffer oppå hverandre Anonymkode: 6cbf1...5d6
AnonymBruker Skrevet 27. juli 2022 #6 Skrevet 27. juli 2022 AnonymBruker skrev (11 minutter siden): Nei, mine fortenner ligger over. Anonymkode: 7ab5f...8cb Ja det var det jeg trodde var vanlig..? Anonymkode: 6cbf1...5d6
AnonymBruker Skrevet 27. juli 2022 #7 Skrevet 27. juli 2022 svakt overbitt her. Anonymkode: e8c6f...313
AnonymBruker Skrevet 27. juli 2022 #8 Skrevet 27. juli 2022 Har overbitt, så nei. Anonymkode: 0c225...ce8
Raven.Writingdesk Skrevet 27. juli 2022 #9 Skrevet 27. juli 2022 Har samme bitt som deg TS, og det er visstnok ikke å foretrekke, det beste er slik jeg har hørt det et lite overbitt 1
AnonymBruker Skrevet 27. juli 2022 #10 Skrevet 27. juli 2022 Litt overbitt er det som er normalt ja.. Ville kanskje vurdert tannregulering. Anonymkode: a7782...9ff
AnonymBruker Skrevet 27. juli 2022 #11 Skrevet 27. juli 2022 1 minutt siden, AnonymBruker said: Litt overbitt er det som er normalt ja.. Ville kanskje vurdert tannregulering. Anonymkode: a7782...9ff nei, bevares, ser ikke ut som TS trenger regulering. Anonymkode: e8c6f...313
AnonymBruker Skrevet 27. juli 2022 #12 Skrevet 27. juli 2022 AnonymBruker skrev (Akkurat nå): nei, bevares, ser ikke ut som TS trenger regulering. Anonymkode: e8c6f...313 Nei det ser ikke nødvendigvis sånn ut, men tannstillingsfeil kan likevel skape problemer.. Anonymkode: a7782...9ff 1
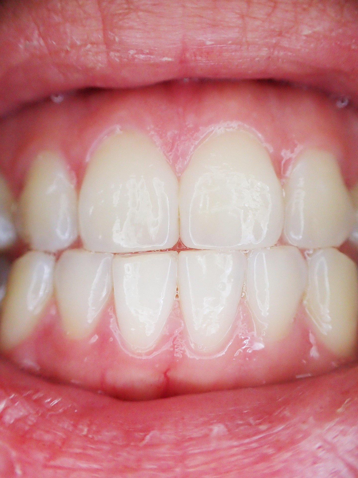
AnonymBruker Skrevet 27. juli 2022 #13 Skrevet 27. juli 2022 Jeg har påtvunget overbitt etter regulering 😂 om jeg slapper av og biter sammen, så er det slik som på bildet. Kant på kant. Men tenna går ikke i spor i rekkene bak. Om tenna skal gå i spor, så må jeg presse haka litt bakover. Dette gjør at jeg får litt dobbelthake når jeg spiser 😒 Skulle klaget, men hadde regulering som barn (15 år siden), og bedriften eller kontoret finnes ikke lenger. Ikke husker foreldrene mine hva det het heller, så får ikke gjort noe med det 😛 frister dog lite å ta ny regulering for å rette på det også, selv om det er et irritasjonsmoment Anonymkode: f4a17...748
AnonymBruker Skrevet 28. juli 2022 #14 Skrevet 28. juli 2022 Har stort overbitt, så nei Anonymkode: abb7e...b61
AnonymBruker Skrevet 28. juli 2022 #15 Skrevet 28. juli 2022 Fortennene opp møter de under ja. Men en visdomstann har flyttet på tenne i overkjeven så mellomrommet mellom fortennene opp er ikke i en strek som de nede. ( hvis det var forståelig?) Er et par mm forskjell. Anonymkode: 403ed...cd7
AnonymBruker Skrevet 28. juli 2022 #16 Skrevet 28. juli 2022 Nei. Har normalt bitt Anonymkode: 83b55...a9f
AnonymBruker Skrevet 28. juli 2022 #17 Skrevet 28. juli 2022 AnonymBruker skrev (21 timer siden): Ser tenna dine sånn ut? Altså at de 2 midtre fortenna treffer akkurat på de 2 midtre nedretenna? Anonymkode: 6cbf1...5d6 Det der er jo kant-i-kant-bitt, nesten tendens til underbitt. Ikke normalt Anonymkode: 41c4f...853
AnonymBruker Skrevet 28. juli 2022 #18 Skrevet 28. juli 2022 TS, du har veldig fine tenner og fint tannkjøtt og fine lepper. Er du i 20-åra? Anonymkode: c84d2...866
Christina82 Skrevet 30. juli 2022 #19 Skrevet 30. juli 2022 Ryddet for brudd på denne regelen: * Det er ikke tillatt å signere som helsepersonell/ yrkestitler innenfor helsesektoren. Christina82, mod
Anbefalte innlegg
Opprett en konto eller logg inn for å kommentere
Du må være et medlem for å kunne skrive en kommentar
Opprett konto
Det er enkelt å melde seg inn for å starte en ny konto!
Opprett en kontoLogg inn
Har du allerede en konto? Logg inn her.
Logg inn nå